医学

  • 美国医生也在学武术!

    孤星共和国”(美国德州)最近暴力事件频发,除了近期在国际新闻中刷屏的警察和黑人之间的射杀案件,最近,达拉斯一医院中,一名女医生被患者暴力对待致死,引起了美国医疗系统的注意。 堂下何人,所犯何罪? 这名杀…

    2016-07-13
  • 视频:产妇的椎管内麻醉

    椎管内麻醉分为硬膜外麻醉和蛛网膜下腔麻醉,是把药物注射到硬膜外或蛛网膜下已抑制疼痛信号的传递。在我国剖宫产和分娩镇痛的产妇该技术应用广泛。本视频为日内瓦大学医学院录制,意在对产妇和家属宣教椎管内麻醉…

    2016-07-11
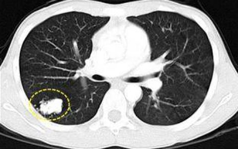
  • Radiology:CT检查可降低肺结节的活检和手术率。

    一项发表在《放射学》杂志上的新研究称,通过每年低剂量计算机断层扫描(CT)可以避免非实性肺结节活检或手术。 非实性结节(NSNs)通常是肺部无症状的生长。此名称来源于正常肺组织内可见的结节CT图像。随着医疗保险和…

    2016-07-11
  • 国际麻醉学与复苏杂志:针刺在现代麻醉应用

    简介针灸的基本原理1 针灸学以经络学说为基础,强调人体是以经络为联系,以脏腑为中心的有机整体;这一思想是中医天人相应观念在阐释人体生命现象中的具体体现,它为生理学研究提供了惟有中国人才能深刻理解的思维…

    2016-07-11
  • Sleep:梦游中能感觉到疼痛吗?

    人在梦游时能感到疼痛吗?针对这一问题,法国蒙彼利埃Gui de Chauliac医院的一组研究者曾于《Sleep》发表一项研究,探讨梦游者疼痛的影响及决定因素。  在本项横断面病例对照研究中,研究者对比了100名梦游者与100…

    2016-07-10
  • J Am Coll Cardiol:STEMI患者急诊PCI前早期静脉注射β受体阻滞剂能否获益?

    近期有证据表明,经皮冠状动脉介入治疗(PCI)围术期应用β受体阻滞剂能够实现近远期获益。发表在《J Am Coll Cardiol》的一项首次的大规模、双盲、安慰剂对照的国际多中心研究表明,在一个未分层的STEMI人群中,急…

    2016-07-10
  • NEJM:在黑暗中玩手机,导致失明

    当今,手机不离身已经成为普遍的现象,然而这也许是某些疾病的祸根。 手机辐射与癌症是长期以来一直存在争议的问题。今年5月份,由美国FDA资助的国家毒理学计划(National Toxicology Program,NTP)研究团队发现,…

    2016-07-10
  • CPR但不插管并非明智之举

    根据JAMA杂志,如果你有一个想要优先接收干预措施的预设医疗指示,当你心跳突然停止时,你可能会想重新考虑你的选择。 医生称,患者和家属越来越意识到他们所指定的医疗愿望价值的重要性,为了能更好的沟通,他们需…

    2016-07-09
  • 妊娠期间慢性疼痛的药理学管理

    妊娠期应慎用镇痛药。2016年6月发表在《Drugs》的一项由瑞典科学家进行的研究讨论了妊娠期间慢性疼痛的药理学管理。 本文讨论了妊娠期使用镇痛药的可能的作用。本文总结了相关文献和瑞典医学出生登记中一些之前未发…

    2016-07-09
  • JAMA Neurol:急性脑出血后如何预测血肿扩大?

    一项回顾性研究结果显示,在急性脑出血后的第一个48小时内,血肿内出现低密度影可能预示着血肿的扩大。这一研究结果在线发表于JAMA神经病学杂志。 “这种由非对比CT扫描检测出的低密度可以预测由于持续出血导致的血…

    2016-07-09