临床技术

  • 术中遇到这些问题该怎么办?

    麻醉医生应在术中时刻保持警觉,密切关注病人及生命体征的变化。在一些特殊情况下,某些问题如果不能得到及时的发现与处理,病人的状况将迅速恶化并危及生命。 术中可能发生的危急事件是指重要生命体征的剧烈波动和…

    2016-06-28
  • 3D打印帮助医生通过手术挽救颅裂儿童生命

    摘要:日前,波士顿儿童医院的外科医生使用3D打印技术帮助进行了一场复杂的脑部手术,患者是一个严重脑膨出的婴儿。医生们在手术规划中使用了变形头骨的3D打 印模型。据悉,病人的部分大脑在长在了变形的头骨中。据…

    2016-06-26 临床技术
  • 心源性哮喘与支气管哮喘鉴别要点

    不管是内科医生还是外科医生在临床工作中经常会遇到哮喘的病人,特别是围术期的病人,在受手术、麻醉等刺激时,更易引发哮喘发作。临床最常见的哮喘为心源性哮喘和支气管性哮喘,由于两种疾病临床症状相似,而治疗…

    2016-06-21
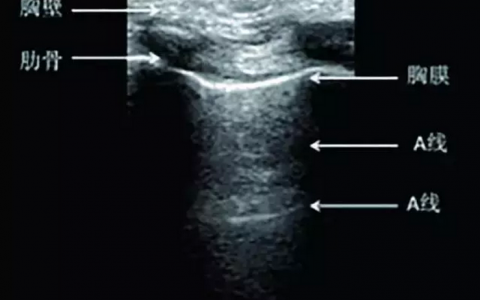
  • 重症超声基础

    肺脏由于含气量大,超声波不易穿透,易受胸骨和肋骨的阻挡,所以以往临床医生认为肺部是B超的禁区。但最近几年通过对超声影像的仔细辨认和借助超声伪像的征象,肺部B超逐渐在危重症患者床旁检查中流行起来。然而肺…

    2016-06-18
  • 那些容易被忽略的药物不良反应

    临床上治疗疾病往往会用一种或几种药物,一些药物的常见不良反应医护人员往往等识别并作进一步处理,但是有些药物的不良反应隐匿而不常见,经常会被忽视。护士网上列出了一些药物常常被忽视的不良反应。 1替米沙坦—…

    2016-06-18
  • 新生儿宝宝的脐带护理

    新生儿宝宝的脐带护理 脐带是连接胎儿与母亲的重要纽带,也是胎儿从母体吸取营养、排泄代谢物的通道。胎儿自母体娩出后,脐带被助产士剪断、结扎,并留下残端直至脱落。正常情况下,从出生剪断脐带到根部脱落约需7…

    2016-06-16
  • 影响麻醉实施的药物

       阿司匹林该药常用于冠心病、糖尿病、血脂异常、高血压、心肌梗死、卒中等患者,以降低心脑血管的危险因素;还用于动脉外科手术或介入手术后的患者,预防术后深静脉血栓和肺栓塞等。由于阿司匹林对血小板聚集的抑…

    2016-06-13
  • 病例讨论:巨大甲状腺肿瘤切除术的麻醉处理

    讨论主题THEME 巨大甲状腺肿瘤切除术的麻醉处理 参与群组GROUPS 中国麻醉~肿瘤麻醉病例讨论群 中国麻醉~老年麻醉病例讨论群 中国麻醉~神经阻滞麻醉病例讨论群 中国麻醉~超声病例讨论群 中国麻醉QQ主群:4238928…

    2016-06-04 临床技术
  • 乳酸钠林格注射液的药品配伍禁忌。

    乳酸钠林格注射液是麻醉医生手术中最常使用的晶体液,但可能并不太会注意到其实它与很多药品存在配伍禁忌。所以建议大家都收藏,以备不时之需!1.甘露醇 乳酸钠林格液与甘露醇混合后出现理化、药动学及药效学等方面…

    2016-06-04
  • 婴儿全麻诱导后急性肺水肿一例。

    湖北医药学院附属东风医院报道了一例婴儿在全麻诱导后发生急性肺水肿一例。通过总结抢救成功经验和发生原因分析,认为上呼吸道感染联合全麻药物的使用是导致该婴儿肺水肿并继发急性心衰的主要原因。救治措施主要是…

    2016-05-31