肺脏由于含气量大,超声波不易穿透,易受胸骨和肋骨的阻挡,所以以往临床医生认为肺部是B超的禁区。但最近几年通过对超声影像的仔细辨认和借助超声伪像的征象,肺部B超逐渐在危重症患者床旁检查中流行起来。然而肺部超声B超基本技能如何学习和掌握那?华中科技大学在麻醉微信平台上发布了一篇文章,详细介绍了肺部超声的基本特征和原则。
一,肺部超声四大基本原则:
①依据患者体型及病变部位选择超声探头和频率。低频凸阵探头(3~5 MHz)适用于探查体型较胖或病变位置较深的患者,线阵高频探头(6~12 MHz)适用于探查表浅的胸膜或胸膜下病变。
②肺脏病变都伴随着气与水的相互消长。气与水比例逐渐降低的过程就是气胸、正常肺组织、间质综合征、肺实变、胸腔积液的改变过程。
③肺脏超声多基于对伪影的分析。
④肺脏超声多为动态征象。
二,肺脏超声的基本征象
1.肺滑动征:脏壁层胸膜运动的征象。
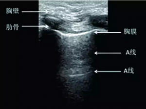
2.A线:与胸膜线平行的数条伪影线。
3.B线:肺部由于含水量增加,产生的与A线垂直的一条或数条放射状的高回声线,又称为彗星征。为肺水肿的典型表现。
4.沙滩征:正常肺脏M型超声下的表现。有运动征象
5.条码征:M超下肺脏表现为数条平行的水平线,无运动征象。
6.肺点:M型超声下沙滩征与条码征的交界点。气胸的典型表现。
7.肺搏动征:脏壁层胸膜运动消失,随心脏跳动而震动的征象。为肺不张的早期表现。
8.支气管气影,为肺炎和肺不张鉴别诊断依据。
1)动态支气管气影:组织动态运动时支气管内充气伪影
2)静态支气管气影:静态支气管气影以不张肺区域内静止的支气管内充气伪影
9.碎片征:实变的肺脏和充气肺泡交界的地带出现短线样、碎片样的强回声光斑
作者还提到了几种肺部疾病的超声诊断方案和流程,对肺炎、气胸、呼吸衰竭等可以快速诊断。超声的快速、无创、便携和准确等优势在重症医学应用中一定会越来越广。
作者尚游,来自于华中科技大学同济医学院附属协和医院。
原创文章,如若转载,请注明出处。
