
患者女21岁
【主诉】
因反复心悸胸闷4年,加重1个月,妊娠38+4周入院
【体格检查】
呼吸22次/min,口唇轻度发绀,颈静脉轻度充盈,心率104/min,律不齐,频发室性期前收缩二联律或三联律,15~20/min,A2>P2心尖区,2/6G收缩期杂音
【初步诊断】
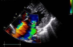
结合心脏彩色多普勒超声和心电图检查,诊断为心肌致密化不全、心功能三级、B型预激综合征,以及频发室性期前收缩二联律和呼吸功能不全,
【家族史】
询问病史,具有心肌致密化不全家族史,家族中曾发生猝死或心力衰竭6例。
【治疗经过】
于急救室内采用多功能监测仪持续监测,鼻导管供氧,极化液营养心肌,毛花苷C强心,呋塞米利尿,并请妇产科医师尽快终止妊娠,根据患者及家属要求,拟麻醉下行剖宫产术。
次日入手术室,半卧位,常规监测血压、脉搏、血氧饱和度,面罩给氧,在备好全麻的情况下,选择硬膜外麻醉建立有创血压及中心静脉压监测,于腰23间隙穿刺成功后,注入2%利多卡因3ml试验剂量 5min后有平面且无全脊麻 分次注入0.75%罗哌卡因共10ml平面,T6~S5生命体征平稳,开始剖宫产手术,取出一活男婴Apgar评分9分,术中患者感胸闷,呼吸困难,心电图示频发室性期前收缩,考虑胎儿娩出后血压快速下降所致,立即给予面罩辅助呼吸,麻黄碱5mg静脉注射并适当加快输液,1min后症状逐渐缓解,给予镇痛镇静类药物,患者安静入睡,生命体征平稳,术中输入晶体,胶体液各500ml术毕送急救室,半卧位,吸氧,继续给予营养心肌及适时强心,利尿等治疗,次日晨呼吸、心率等逐渐趋于正常,室性期前收缩显著减少,1周后母子平安出院。
本文作者丁国友等来自于 解放军第94医院麻醉科,本文发表于人民军医杂志。
论文链接:http://xueshu.baidu.com/s?wd=paperuri%3A%28f1e8a7098b286ba6cd0035eb12a1c70a%29&filter=sc_long_sign&tn=SE_xueshusource_2kduw22v&sc_vurl=http%3A%2F%2Fwww.cqvip.com%2FQK%2F96892X%2F201401%2F48285563.html&ie=utf-8&sc_us=18035720887500190608
原创文章,如若转载,请注明出处。